









Vår klinik erbjuder skräddarsydda tandundersökningar för att säkerställa
god munhälsa. Våra erfarna tandläkare utför noggranna undersökningar och skapar individuella
behandlingsplaner. Vi strävar efter en bekväm och avslappnad miljö för din trygghet. Prioritera din
munhälsa – boka din undersökning idag för ett strålande leende!
8%
Project yield
12.2%
Project growth
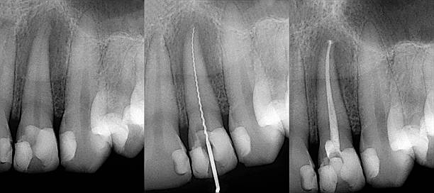
Vår rotfyllningsbehandling räddar dina tänder från förlust och lindrar
smärta orsakad av djupa kariesinfektioner eller skador. Med skickliga tandläkare och avancerad teknik
utförs proceduren noggrant och smärtfritt. Återfå en frisk och smärtfri munhälsa med vår
rotfyllningsbehandling.
8%
Project yield
12.2%
Project growth
Våra tandimplantat är en hållbar lösning för att ersätta förlorade tänder. Genom en skicklig och skonsam procedur återskapar vi ditt leende och din tuggförmåga. Med modern teknik och erfarenhet erbjuder vi kvalitetsimplantat för långsiktig oral hälsa. Återfå ditt självförtroende och funktionalitet med våra tandimplantat idag!
8%
Project yield
12.2%
Project growth
Invisalign är en modern ortodontisk behandling med genomskinliga, avtagbara tandrotsrätare för att räta ut tänderna utan tandställningar. Dessa skräddarsydda tandrotsrätare är nästan osynliga och erbjuder ett diskret sätt att förbättra leendet. De är bekväma, praktiska och tillåter normal munhygien samt enkel borttagning vid måltider och tandborstning.
8%
Project yield
12.2%
Project growth

